SSA FLOW | Dental Flow Learn & Grow | Workshops & Masterclass in Paris
doc-image
MASTERCLASS
REGION POSTERIEURE

SSA FLOW

masterclass en francais
12 & 13 Juin 2025 à Paris
1 790 €
registration

Program

Jeudi
La philosophie SSA
Pause
Implantation immédiate : Planification et Procédure chirurgicale
Lunch
Concept SSA : Bio-logique... avant tout
Pause
Chirurgie en direct
After Course
Vendredi
SSA en pratique : 5 techniques
Pause
SSA : Où en sommes-nous ? 10ans après...
Lunch
Workshop
Pause
SSA : où sont les limites ?
After Course
image-69 image-70 image-71 image-72 image-73 image-74 image-75 image-76
image-77
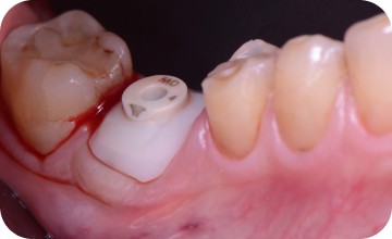
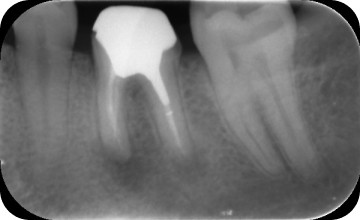
Avant
image-78
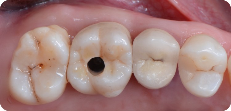
Après
Concept SSA

Publications

Get in touch